
结核性胸膜炎是结核菌感染胸膜后引起的胸膜炎症及变态反应,是胸膜感染中最常见的疾病。可分为炎症渗出期、分隔形成期、包裹期、脓胸期等。
由于体质的差异,部分患者早期症状比较轻,就诊时已到分隔形成期;或部分患者虽发现较早,但治疗规律,也会很早就形成分隔,甚至包裹。这类患者在临床中比较常见。
近日在临床中就遇到了几例:
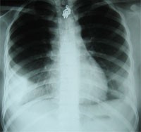
一例:患者女、18岁,两个月前反复活动后气短、胸闷、胸痛,自以为是高考压力大而致,未检查。疼痛、气短加重后检查为包裹性胸膜炎。如图:

右侧结核性胸膜炎胸膜包裹
二例:患者男、24岁,一月前发现结核性胸膜炎渗出期,给予抗结核及抽水治疗一次,但患者未规律用药,后出现胸痛复查,为包裹性胸膜炎。如图:

结核性胸膜炎不及时治疗,胸水不能尽快吸收,会导致胸膜粘连肥厚,甚至包裹。一旦形成会对机体造成很大危害。
1、胸膜肥厚粘连会导致临床胸膜腔引流失败,治疗病程延长
2、胸膜肥厚粘连、包裹会导致胸廓活动受限、肺被压缩,从而导致肺功能下降。
3、长时间胸膜肥厚粘连会导致胸廓塌陷,畸形。
4、胸膜包裹,其包裹的胸水无法引流,增加脓胸的风险
5、胸膜包裹也会导致胸壁结核的出现。
结核性胸膜胸水不吸收包裹后怎么治疗呢?
1、在未完成抗结核治疗疗程时,一定规律抗结核治疗
2、积极抽液治疗,可以胸腔镜协助
3、利用中医中药,内服外贴,发挥其活血化瘀、软坚散结的作用从而促进胸水及包裹的吸收。
4、如果胸膜已纤维钙化、应尽早手术,做胸膜剥脱术,以免并发症形成。
